![PSxxx7724_LSCAstenosis_b4stenting[1]](/wp-content/uploads/2013/05/PSxxx7724_LSCAstenosis_b4stenting1-121x300.jpg)
![PSxxx7724_LSCAstenosis_b4stenting_reversedimage[1]](/wp-content/uploads/2013/05/PSxxx7724_LSCAstenosis_b4stenting_reversedimage1-122x300.jpg)
![PSxxx7724_LSCAstenosis_at stenting[1]](/wp-content/uploads/2013/05/PSxxx7724_LSCAstenosis_at-stenting1-122x300.jpg)
![PSxxx7724_LSCAstenosis_poststenting[1]](/wp-content/uploads/2013/05/PSxxx7724_LSCAstenosis_poststenting1-142x300.jpg)
Key: LVA, left vertebral artery; LSCA, left subclavian artery; LCCA, left common carotid artery; LIMA, left internal mammary artery.
The vertebral artery is the first branch of the subclavian artery and supplies the hindbrain, while the internal mammary artery is its second branch and courses behind the anterior chest wall to anastomose with the ipsilateral inferior epigastric artery in the rectus sheath; it offers a natural route for lower body perfusion in obstructive diseases of the thoracic aorta or is grafted to a coronary artery in coronary artery bypass interventions (left internal mammary artery). In most people the left subclavian artery arises from the posterior aortic arch, while the right subclavian artery arises from the brachiocephalic trunk, itself the first branch of the aortic arch. A patient may develop vertebrobasilar insufficiency due stenosis or occlusion of the brachiocephalic or subclavian artery, called vertebral-subclavian syndrome. Similarly, symptoms of coronary hypoperfusion may develop in those in whom their left internal mammary artery (LIMA) is grafted to a coronary artery for coronary bypass surgery.
In vertebral-subclavian steal syndrome, because the increased demand for blood that attends active use of an upper extremity is not met due to critical stenosis or occlusion of the brachiocephalic trunk or the subclavian artery, blood is short-circuited from the ipsilateral vertebral artery reducing hindbrain perfusion. The patient may experience such hindbrain symptoms as dizziness, nausea, disequilibrium and vomiting that improve by resting the limb. Similarly, in coronary-subclavian syndrome blood is shunted from the coronary artery to which the LIMA is grafted, causing coronary syndrome involving the short-changed myocardial territory that improves with resting the left upper limb.
The commonest cause of large-vessel obstruction in the upper extremities is atherosclerosis and the left subclavian artery is affected by stenotic/occlusive disease 8 to 10 times more than the right subclavian artery. In the past such disease was solely managed by surgery – direct reconstruction via endartherectomy or aortic arch bypass – but with improved endovascular techniques, it is increasingly addressed endovascularly. Although few studies have compared endovascular stent-supported subclavian revascularization with aortic bypass interventions, the initial clinical success of the former is seen in nearly 100% of stenotic lesions and 60% to 100% of occlusions. Primary patency at 1 year has been reported in 91% to 100%, dropping to 82% to 86% at 3 years and 77% at 5 years.
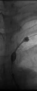
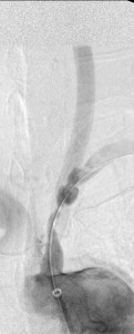
The 4 images you see above were recorded by me during primary stenting of irregular atherosclerotic stenosis of the left subclavian artery in a 54-year-old Hispanic female who was referred to my interventional radiology clinic for management of the stenosis. She had presented to her primary care physician with symptoms of hindbrain ischemia upon using her left upper limb and earlier workup confirmed left subclavian arterial stenosis. The 2 top images illustrate the character and severity of her disease, the first image in the bottom row shows the process of balloon-expandable stenting of the disease, while the 2nd image in the bottom row reveals complete elimination of the stenosis and reappearance of the left vertebral and internal mammary arteries, which were invisible on the pre-intervention angiograms reflecting the severity of the stenosis.


