History
This case is a young woman who had a brain MRI because of chronic headache.
Radiologic findings
![Choroid plexus menigioma T1_text[1]](/wp-content/uploads/2013/05/Choroid-plexus-menigioma-T1_text1-300x275.jpg)
![Choroid plexusmenigiomaT2_text[1]](/wp-content/uploads/2013/05/Choroid-plexusmenigiomaT2_text1-300x274.jpg)
![Choroid plexus menigioma FLAIR_text[1]](/wp-content/uploads/2013/05/Choroid-plexus-menigioma-FLAIR_text11-300x300.jpg)
![Choroid plexus meningioma T1 postgad_text[1]](/wp-content/uploads/2013/05/Choroid-plexus-meningioma-T1-postgad_text1-300x265.jpg)
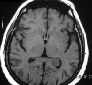
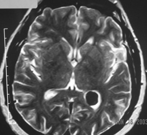
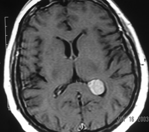
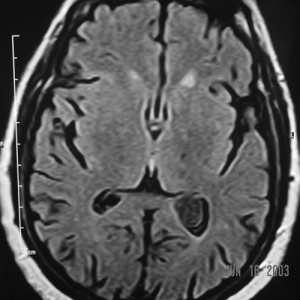
The images are a combination of T1 (before and after gadolinium enhancement), T2, and FLAIR pulse sequences in axial, sagittal and coronal sections of the patient’s brain (not all of the original images are in the monograph).
They reveal a 2cm mass in the trigone of the left lateral ventricle, centered within the choroid plexus. It has intermediate signal intensity on the pre-gadolinium T1WI, is hyperintense on the T2WI and enhances intensely and homogeneously after intravenous gadolinium administration. The mass is round, well-defined, has no mass-effects and does not invade the brain parenchyma. The ventricles are not dilated. The remainder of the brain is normal.
Differential diagnosis
1. Complicated choroid plexus cyst
2. Lymphoma
3. Metastasis
4. Vascular malformation
5. Choroid plexus papilloma
6. Choroid plexus carcinoma
Discussion
One of ten neoplasms of the central nervous system occur in the ventricles and half of these masses in adults (one quarter in children) occur in the lateral ventricles. Their differential diagnosis hinges heavily on their location and the age of the patient; their imaging characteristics offer little help.
In an adult the common masses found in the trigone of the lateral ventricle include: choroid plexus cyst, meningioma, lymphoma, metastasis and vascular malformation; papilloma and carcinoma of the choroids plexus are not common.
Cysts of the choroid plexus have epithelial lining and contain fluid whose signal intensity parallels that of the CSF unless, and unlikely, there is complicating hemorrhage or infection. Encysting infections of the central nervous system such as neurocysticercosis and ecchinococcosis may also occur in the ventricles but do so, usually, with characteristic histories. The mass in this case, on the T2WI, is homogenously hypointense to CSF; old blood would behave thus but should be bright on T1WI as well. A cyst is, therefore, unlikely.
Lymphoma and metastasis are unlikely in the absence of extra-cranial disease and this site is unusual for primary central nervous system lymphoma.
A vascular malformation can occur in this locale at any age but would reveal heterogeneity due to flow voids and calcifications. It may also be possible to identify large abnormal vascular channels. The mass in this case has no such appearances.
Choroid plexus papilloma (CPP) is commoner in children than in adults and in adults is more likely to occur in the fourth ventricle. The lesion is usually associated with enlargement of all the ventricles either due to increased CSF production or due to disturbed CSF drainage. CPP, on MRI, is iso-intense on T1, iso- to slightly hyperintense on T2, and enhances intensely after gadolinium injection. There may be ‘drop metastasis’ and limited parenchymal edema, which does not however indicate malignancy. Our patient’s age, the location of the tumor, and its imaging characteristics make choroid plexus papilloma unlikely.
Carcinoma of the choroid plexus is uncommon in adults, occurring primarily in children 2 to 4 years old (median age 26 months). There is usually hydrocephalus and there may be parenchymal invasion. Though it may possess imaging features similar to the mass in this case, it is unlikely, however, based on the patient’s age.
Therefore, from the foregoing in addition to its signal behavior, the mass in question is most likely a meningioma.
Meningiomas are the most common non-glial primary brain tumors and the most common intracranial extra-axial (outside the brain or spinal cord parenchyma) tumors of the central nervous system in adults (15% to 20% of all primary brain tumors are meningiomas).
They arise from the meningothelial cells of the CNS called arachnoid “cap” cells and often are benign tumors classified, histologically, into syncytial, fibrous, transitional and angioblastic forms based on the proportions of fibrous tissue, blood vessels and cells they contain. Occasionally, fine, granular calcifications are present in them, the psammomatous meningiomas. Intraventricular meningiomas are uncommon and arise from the stromal cells of the choroid plexus or cells of the tela choroidea.
Because there is little concordance between disease prognosis and the histologic variations I mentioned above, the World Health Organization classification system (which enjoys this merit) is favored more by many neuropathologists: typical (88-94%), atypical (5-7%) and anaplastic (malignant) meningiomas (1-2%).
Meningiomas are rare in children (often in atypical location and of atypical histology), commoner in women than men, multiple in 1 to 9% of instances and may be a part of neurofibromatosis type 2 (usually when multiple).
Meningiomas can grow in the brain or the spinal cord. In the former, the common sites of occurrence are the parasagittal area, the convexity, the sphenoid ridge, the olfactory grove, the parasellar region and the posterior cranial fossa; rare occurrences in the ventricles (as in our case), the pineal region, optic nerve, the nose, sinuses and the skull are documented.
The tumors do not usually cause symptoms but their presentation varies and depends on their locations: seizure, hemiparesis, visual field defects, cranial nerve palsies, obstructive symptoms and anosmia, to mention a few. Both benign and malignant meningiomas may metastasize though, rarely.
I doubt that our patient’s chief complaint (headache) was due to the intraventricular mass, though it is possible. I do not know what became of her because I lost her on follow-up.
Bibliography
1.Jelinek J et al: Lateral ventricular neoplasms of the brain: differential diagnosis based on clinical, CT, and MR findings, AJR 155:365-372, 1990
2.Sheporaitis L, et al: Radiologic-Pathologic correlation of intracranial meningioma, AJNR 13: 29-37, 1992.


