- Right brachial venogram before intervention: green arrow is 1st and juxta-anastomotic stenosis; black arrow is proximal aneurysm; red arrow is 2nd and mid stenosis; brown arrow is 2nd aneurysm; blue arrow is 3rd and distal stenosis.
- Image during intervention: angioplasty of 1st and 2nd stenoses.
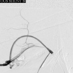
- Right brachial venogram during intervention: Dilated 2nd and 3rd stenoses; juxtanastomotic stenosis was treated, but image not shown.
- Right brachial arteriogram during intervention: Proximal brachial artery patent.
- Right brachial venogram during intervention showing collaterals bypassing subclavian stenosis.
Clinical problem: Failed right brachiobrachial fistula.
Angiographic findings:
- A high-grade juxta-anastomotic venous stenosis.
- 2 upstream venous aneurysms between which is sandwiched a 2nd high-grade venous stenosis.
- A 3rd venous stenosis, also high-grade, distal to the distal aneurysm.
- Venous collaterals around the right axillary vein due to chronic total occlusion of the right subclavian vein.
Challenges: Many lesions clustered within a short venous segment with little room for intervention. Accessing the normal downstream brachial vein was difficult because there wasn’t much room between the patient’s chest wall and the right arm.
Intervention:
- The proximal right brachial vein was accessed with ultrasound guidance, the needle pointing towards the central veins, and the access secured with a sheath.
- A balloon was advanced to the distal venous stenosis and inflated, eliminating the stenosis.
- A second access was secured into the downstream brachial vein, pointing towards the right hand, through which the balloon was passed to the juxta-anastomotic and inter-aneurysmal stenoses and inflated.
- Reflux angiography of the access circuit was performed and revealed normal arterial limb of the circuit.
- Final angiography of the venous limb of the circuit revealed resolved stenoses.
- No action was taken on the aneurysms at this session.
- The subclavian occlusion was not addressed because it did not seem to contribute to the failure of the access.







