Login / Register
About Us Services
Uterine Fibroid Embolization Percutaneous vertebroplasty & kyphoplasty Maintenance Of Hemodialysis Accesses Peripheral Arterial Disease (PAD)
About IR Procedures and Tests Case gallery Contact Us





Guests’ Opinions
From My Teaching Files
Schedule an appointment
Assess your risk
Ask Dr. E

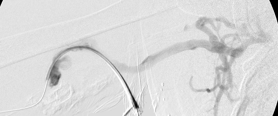
Chest wall collaterals due to subclavian stenosis

Published July 19, 2014 at 957 × 401 in Hemodialysis Access Maintanance, Case 4. Ken U. Ekechukwu, MD, MPH, FACP. .
← Previous Next →
Right brachial venogram during intervention showing collaterals bypassing subclavian stenosis.

Right brachial venogram during intervention showing collaterals bypassing subclavian stenosis.

© MRC 2025 Disclaimer + About Us + Services + About IR Procedures and Tests + Case Gallery + Contact Us