Login / Register
About Us Services
Uterine Fibroid Embolization Percutaneous vertebroplasty & kyphoplasty Maintenance Of Hemodialysis Accesses Peripheral Arterial Disease (PAD)
About IR Procedures and Tests Case gallery Contact Us





Guests’ Opinions
From My Teaching Files
Schedule an appointment
Assess your risk
Ask Dr. E

Brachial artery

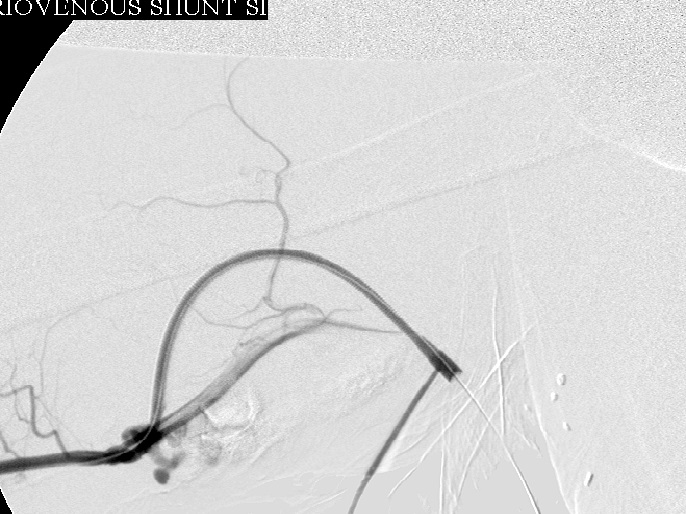
Published July 19, 2014 at 686 × 514 in Hemodialysis Access Maintanance, Case 4. Ken U. Ekechukwu, MD, MPH, FACP. .
← Previous Next →
Right brachial arteriogram during intervention: Proximal brachial artery patent.

Right brachial arteriogram during intervention: Proximal brachial artery patent.

© MRC 2025 Disclaimer + About Us + Services + About IR Procedures and Tests + Case Gallery + Contact Us