

These images illustrate efforts to save a limb from amputation, or, at least delay the event, when the limb is threatened by severe diabetic angiopathy and a non-healing ulcer.
Neuropathy and vasculopathy due to diabetes substantially contribute to limb loss all over the world, which in turn reduces an amputee’s longevity. Revascularization of chronic total occlusions (CTOs) or severe but non-occlusive arterial disease of the lower extremities has revolutionized the management of the diabetic foot and primary care givers and podiatrists commonly seek out vascular specialists skilled in endovascular treatment of such flow impediments when confronted with patients on the verge of losing their limbs to them. Even if limb amputation is unavoidable, such interventions may limit the extent of amputation.
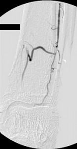
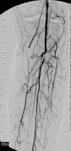
The images in the top panel illustrate multicentric moderate and severe (>50%) narrowings of the proximal left common femoral artery (LCFA) – not shown – and the superficial femoral artery and a focal critical stenosis of the proximal left tibioperoneal trunk in an elderly diabetic man with a chronic ulcer of his left foot. Notice that the critical tibioperoneal stenosis limits blood flow into the patient’s only named branch of his left popliteal artery, the peroneal artery, which is the principal path of blood inflow to the foot. Note, too, the severity of the lack of perfusion of the foot as shown by the “whiteness” of the patient’s hind foot.
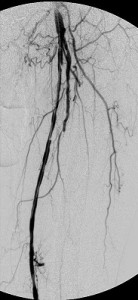
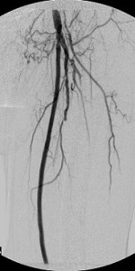
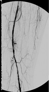
It was , therefore, helpful to the patient that I eliminate as much of the upstream disease as was feasible and dilate the critical stenosis of the left tibioperoneal trunk. Thus, balloon angioplasty was applied to the common femoral obstruction and the tibioperoneal trunk stenosis and a stent-graft was used to exclude from the circulation all the superficial femoral arterial disease. The bottom panel of images shows the immediate outcome of these interventions. The ulcer eventually healed.


