Smoking, dyslipidemias (disorders of lipids such as hypercholesterolemia), hypertension, and diabetes, individually and severally, may narrow or occlude arteries in all parts of the body.
Amongst arteries that may suffer are the ones that carry blood from the abdominal aorta (the large artery that carries blood from the heart across the abdomen towards the lower limbs) through the pelvis (the waist area) into the lower limbs, called the iliac arteries. If the narrowing of the vessel lumen is significant or the occlusion total, symptoms like claudication (pain during ambulation), paraesthesia, numbness, and erectile dysfunction may develop and bring a patient to medical attention. (Arterial stenoses usually cause symptoms (see above) when they reduce the diameter of affected vessels by more than 50%, corresponding to loss of 75% of their surface area.)
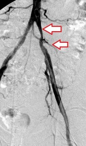
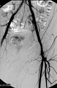
The images below illustrate percutaneous stenting of stenosis of the distal proximal and the mid left common iliac artery, without disease of the left external iliac artery in one of my patients who presented with left calf claudication. CTA of his abdominal aorta and arterial duplex ultrasound of his lower limbs ( images not shown) revealed left iliac stenosis, confirmed by the digital subtraction angiographic images in the first row. He did well following stenting of the diseased artery. Iliac arterial stenting stays open for nearly as long as surgical revascularization and at much less the morbidity and cost of the latter.





