
The blue toe syndrome results when the arterial supply to a digit of the foot is acutely interrupted. Since digital arteries are end arteries and the interruption sudden, the affected toe quickly develops ischemia, which manifests as acute pain and discoloration. Often the obstructing agent is a fragment of clot dislodged off diseased segments of the upstream arterial tree – the heart, the aorta, the iliacs, or the femoropopliteal segment. The primary disease may be luminal thrombosis or thrombus in an aneurysmal sac or a left heart chamber. Occasionally, usually in the setting of endovascular interventions, it may be a cholesterol crystal broken off a mural plaque, a more obstinate problem to treat than embolized blood clot. It is reasonable, therefore, in the patient with the blue toe syndrome that the care giver investigates their arterial paths from the heart to the toes and consider as well the possibility of a hypercoagulable state.
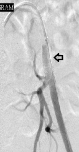
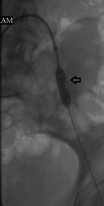
I present here a young woman whose primary care physician referred to me because of acute pain in her left great toe that was associated with discoloration. Her left common femoral pulse was diminished on examination and its waveform abnormal on arterial Doppler sonography. The image to the far left of the reader shows a focal filling defect of the distal left common iliac artery with sharp margins between its upper and distal surfaces and the vessel lumen, a calcified plaque from which a small embolus may have arisen. The rest of her angiography was normal. The middle image shows the deployment of a short balloon-expandable stent across the filling defect, while the image to the reader’s right is the post-intervention study that shows restoration of normal blood flow through the left iliac channel. Her symptoms resolved and she returned to her primary care provider on aspirin, Plavix, and advice to quite smoking, while pursuing hypercoagulability workup with him.


