Fresh blood from the heart passes to the organs of the body through a large trunk of artery called the aorta that at about the level of the umbilicus divides into two equal arteries that cross the pelvis into the lower limbs. Each of the arteries in the lower limbs divides into two arteries in the upper thigh: one is the superficial femoral artery (SFA), which carries blood into the leg and foot past the knee, while the other, the deep femoral artery, supplies the thigh muscles.
If the superficial femoral artery is occluded or narrowed, cramps may develop in the leg muscles during walking or running. It usually begins mildly (although acute blockage will cause instant pain) as pain after walking a few blocks and worsens into pain after walking less than one block – if the stenosis or occlusion is not relieved. Much depends on the state of the arteries above and below the SFA.
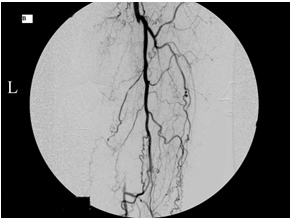
This 75-year-old man’s primary care doctor referred him to my clinic because of left leg cramps after ambulating a few blocks and I found that his left superficial femoral artery was occluded (left column images). Using catheters, wires, balloons, and a covered stent, I restored blood flow through the blocked artery and his problem resolved (right column images).




