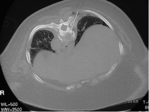
Sometimes it is necessary to biopsy a vertebra with metastatic disease for histopathology as in this woman in whom the T8 was the only evident site of destructive disease. Her primary site of cancer was unknown.
The approach to the percutaneous biopsy in this patient is not very different from the approach during vertebroplasty for thoracic vertebral compression fractures. Vertebroplasty is an effective method of relieving back pain in patients who have vertebral compression fractures.



