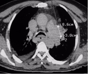
Factors that determine whether pneumothorax will complicate percutaneous biopsy of a lung lesion are the size of the lesion, its depth in the lung, the size of the biopsy needle, and the number of needle passes during the biopsy. Fine needle aspiration (FNA) is safer than core biopsy because the needle size is smaller, but it is limited by the its inability to allow histopathologic tissue analysis and the need to have a cytopathologist present during the procedure to review specimens and declare their adequacy.
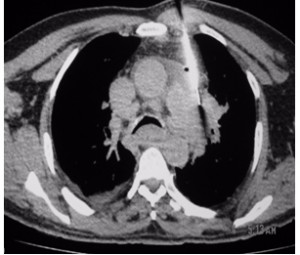
Lesions close to the hilum of the lung like in this case are best biopsied at bronchoscopy. In this case, however, the specimen obtained at bronchoscopy was inconclusive thus forcing a percutaneous biopsy that was only complicated by a small left pneumothorax. I observed the patient overnight in the hospital using periodic chest radiographs and no additional intervention was necessary.



