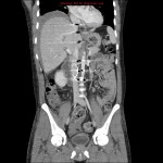
- Reformatted abdominal CT: There is an OptEase filter in the inferior vena cava
- Frontal abdominal fluoroscope: The filter has not moved.
- Inferior vena cavagram before filter retrieval: The axes of the filter and IVC are concordant.
- Frontal abdominal fluoroscope: The filter is snared, ready for collapse.
- Frontal abdominal fluoroscope: The OptEase filter is absent.
- Final inferior vena cavagram: Filter removed without complications.








