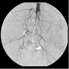
This 41-year-old woman smoked for a long time and developed severe bilateral calf cramping after short walks. Investigation revealed that she had completely occluded her distal abdominal aorta and her right and left iliac arteries, severely restricting the flow of blood into her lower limbs. She was unwilling to have surgery and came to me for minimally invasive treatment. By dripping urokinase (a clot dissolver) over 72 hours through two catheters that I advanced across the occlusions and later stenting the opened arteries, I wholly restored blood flow through her iliac channels. She walked again – without cramps.



