Login / Register
About Us Services
Uterine Fibroid Embolization Percutaneous vertebroplasty & kyphoplasty Maintenance Of Hemodialysis Accesses Peripheral Arterial Disease (PAD)
About IR Procedures and Tests Case gallery Contact Us





Guests’ Opinions
From My Teaching Files
Schedule an appointment
Assess your risk
Ask Dr. E

ser009img00007

Published July 24, 2014 at 455 × 825 in Hemodialysis Access, Case 6. Ken U. Ekechukwu, MD, MPH, FACP..
← Previous Next →
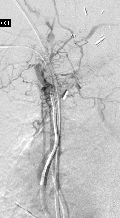
Terminal central venogram through the REJV: A guidewire has been passed through the recanalized vein into the IVC.

Terminal central venogram through the REJV: A guidewire has been passed through the recanalized vein into the IVC.

© MRC 2025 Disclaimer + About Us + Services + About IR Procedures and Tests + Case Gallery + Contact Us