Login / Register
About Us Services
Uterine Fibroid Embolization Percutaneous vertebroplasty & kyphoplasty Maintenance Of Hemodialysis Accesses Peripheral Arterial Disease (PAD)
About IR Procedures and Tests Case gallery Contact Us





Guests’ Opinions
From My Teaching Files
Schedule an appointment
Assess your risk
Ask Dr. E

ser013img00005

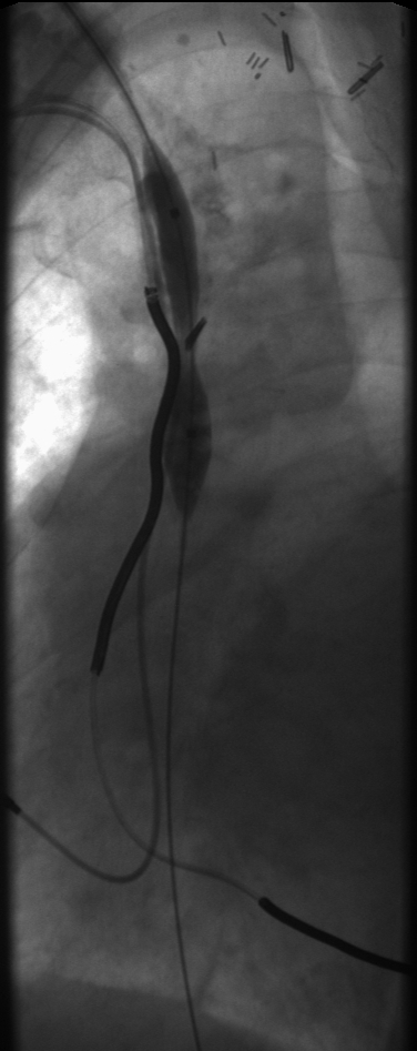
Published July 24, 2014 at 376 × 947 in Hemodialysis Access, Case 6. Ken U. Ekechukwu, MD, MPH, FACP..
← Previous Next →
Mid-phase balloon inflation of the RBCV and SVC: Incomplete dilation of the central veins.

Mid-phase balloon inflation of the RBCV and SVC: Incomplete dilation of the central veins.

© MRC 2025 Disclaimer + About Us + Services + About IR Procedures and Tests + Case Gallery + Contact Us