Login / Register
About Us Services
Uterine Fibroid Embolization Percutaneous vertebroplasty & kyphoplasty Maintenance Of Hemodialysis Accesses Peripheral Arterial Disease (PAD)
About IR Procedures and Tests Case gallery Contact Us





Guests’ Opinions
From My Teaching Files
Schedule an appointment
Assess your risk
Ask Dr. E

ser004img00013

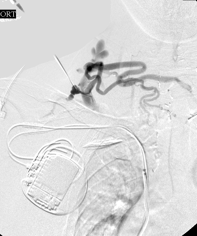
Published July 24, 2014 at 653 × 782 in Hemodialysis Access, Case 6. Ken U. Ekechukwu, MD, MPH, FACP..
← Previous Next →
Central venogram through the right external jugular vein (REJV): There is chronic total occlusion of the distal REJV.

Central venogram through the right external jugular vein (REJV): There is chronic total occlusion of the distal REJV.

© MRC 2025 Disclaimer + About Us + Services + About IR Procedures and Tests + Case Gallery + Contact Us