Login / Register
About Us Services
Uterine Fibroid Embolization Percutaneous vertebroplasty & kyphoplasty Maintenance Of Hemodialysis Accesses Peripheral Arterial Disease (PAD)
About IR Procedures and Tests Case gallery Contact Us





Guests’ Opinions
From My Teaching Files
Schedule an appointment
Assess your risk
Ask Dr. E

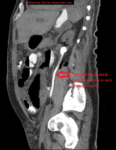
Sagittal CAP post left ureteral stenting

Published July 13, 2014 at 232 × 300 in Internal stenting of the left ureter Ken U. Ekechukwu, MD, MPH, FACP..
← Previous
Sagittal CT abdomen and pelvis after left ureteral insertion showing a decompressed collecting system

Sagittal CT abdomen and pelvis after left ureteral insertion showing a decompressed collecting system

© MRC 2026 Disclaimer + About Us + Services + About IR Procedures and Tests + Case Gallery + Contact Us