Login / Register
About Us Services
Uterine Fibroid Embolization Percutaneous vertebroplasty & kyphoplasty Maintenance Of Hemodialysis Accesses Peripheral Arterial Disease (PAD)
About IR Procedures and Tests Case gallery Contact Us





Guests’ Opinions
From My Teaching Files
Schedule an appointment
Assess your risk
Ask Dr. E

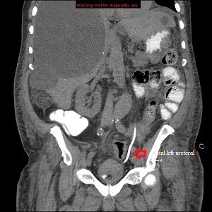
Coronal CTAP post stenting

Published July 13, 2014 at 300 × 300 in Internal stenting of the left ureter Ken U. Ekechukwu, MD, MPH, FACP..
Next →
Coronal CT abdomen and pelvis showing the distal end of the left ureteral stent in the urinary bladder.

Coronal CT abdomen and pelvis showing the distal end of the left ureteral stent in the urinary bladder.

© MRC 2026 Disclaimer + About Us + Services + About IR Procedures and Tests + Case Gallery + Contact Us