Login / Register
About Us Services
Uterine Fibroid Embolization Percutaneous vertebroplasty & kyphoplasty Maintenance Of Hemodialysis Accesses Peripheral Arterial Disease (PAD)
About IR Procedures and Tests Case gallery Contact Us





Guests’ Opinions
From My Teaching Files
Schedule an appointment
Assess your risk
Ask Dr. E

Final examination

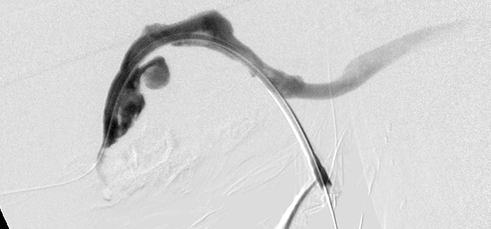
Published July 19, 2014 at 703 × 328 in Hemodialysis Access Maintanance, Case 4. Ken U. Ekechukwu, MD, MPH, FACP. .
← Previous
© MRC 2026 Disclaimer + About Us + Services + About IR Procedures and Tests + Case Gallery + Contact Us