Login / Register
About Us Services
Uterine Fibroid Embolization Percutaneous vertebroplasty & kyphoplasty Maintenance Of Hemodialysis Accesses Peripheral Arterial Disease (PAD)
About IR Procedures and Tests Case gallery Contact Us





Guests’ Opinions
From My Teaching Files
Schedule an appointment
Assess your risk
Ask Dr. E

Prestenting AP CT_axial

Published July 13, 2014 at 300 × 250 in Internal stenting of the left ureter Ken U. Ekechukwu, MD, MPH, FACP..
← Previous Next →
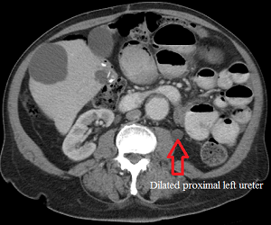
Axial CT scan of the abdomen before left ureteral stenting showing dilated left ureter.

Axial CT scan of the abdomen before left ureteral stenting showing dilated left ureter.

© MRC 2026 Disclaimer + About Us + Services + About IR Procedures and Tests + Case Gallery + Contact Us