Login / Register
About Us Services
Uterine Fibroid Embolization Percutaneous vertebroplasty & kyphoplasty Maintenance Of Hemodialysis Accesses Peripheral Arterial Disease (PAD)
About IR Procedures and Tests Case gallery Contact Us





Guests’ Opinions
From My Teaching Files
Schedule an appointment
Assess your risk
Ask Dr. E

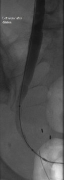
Distal left ureter after dilation

Published July 12, 2014 at 127 × 353 in Bilateral insertion of nephroureteral stents after balloon dilation of malignant obstruction of the distal ureters. Ken U. Ekechukwu, MD, MPH, FACP..
← Previous
Distal left ureter after dilation

Distal left ureter after dilation

© MRC 2026 Disclaimer + About Us + Services + About IR Procedures and Tests + Case Gallery + Contact Us