Login / Register
About Us Services
Uterine Fibroid Embolization Percutaneous vertebroplasty & kyphoplasty Maintenance Of Hemodialysis Accesses Peripheral Arterial Disease (PAD)
About IR Procedures and Tests Case gallery Contact Us





Guests’ Opinions
From My Teaching Files
Schedule an appointment
Assess your risk
Ask Dr. E

ser014img00006

Published July 24, 2014 at 369 × 869 in Hemodialysis Access, Case 6. Ken U. Ekechukwu, MD, MPH, FACP..
← Previous Next →
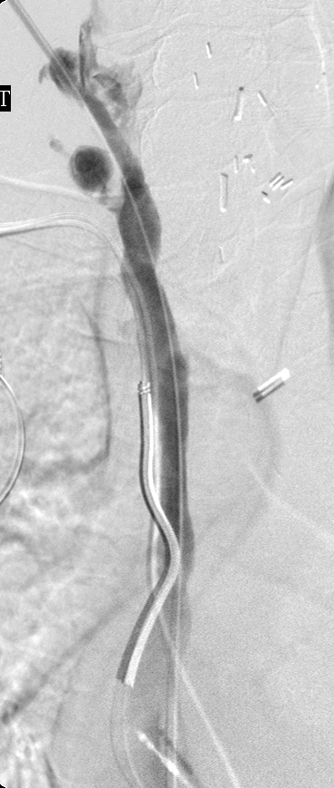
Central venogram via the REJV after track dilation: Complete restoration of luminal patency.

Central venogram via the REJV after track dilation: Complete restoration of luminal patency.

© MRC 2025 Disclaimer + About Us + Services + About IR Procedures and Tests + Case Gallery + Contact Us