Login / Register
About Us Services
Uterine Fibroid Embolization Percutaneous vertebroplasty & kyphoplasty Maintenance Of Hemodialysis Accesses Peripheral Arterial Disease (PAD)
About IR Procedures and Tests Case gallery Contact Us





Guests’ Opinions
From My Teaching Files
Schedule an appointment
Assess your risk
Ask Dr. E

ser013img00012

Published July 24, 2014 at 341 × 954 in Hemodialysis Access, Case 6. Ken U. Ekechukwu, MD, MPH, FACP..
← Previous Next →
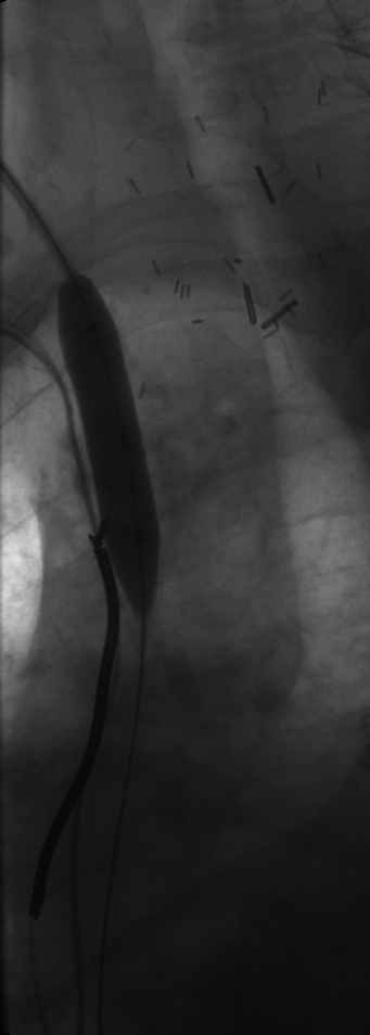
Late-phase balloon inflation: Complete dilation of the central veins.

Late-phase balloon inflation: Complete dilation of the central veins.

© MRC 2025 Disclaimer + About Us + Services + About IR Procedures and Tests + Case Gallery + Contact Us